Questo post é stato letto 10110 volte!
Un intervento di estrema complessità è stato eseguito nelle scorse settimane al Grande Ospedale Metropolitano di Reggio Calabria dall’équipe di Chirurgia Toracica.
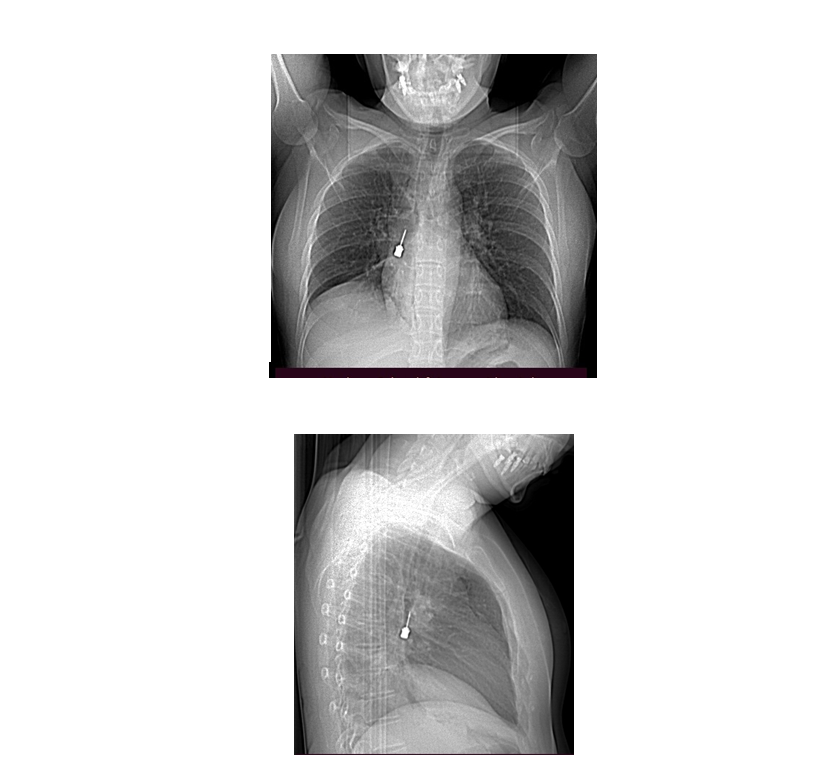
Il direttore dell’UOC di Chirurgia Toracica, dottor Baldassare Mondello, insieme al suo staff, ha effettuato con successo una delicatissima procedura endoscopica in urgenza, rimuovendo per via broncoscopica un cacciavite odontoiatrico accidentalmente inalato da una giovane donna.
La paziente si era presentata al Pronto Soccorso del GOM lamentando una tosse persistente e un forte dolore toracico, portando con sé una Tomografia Computerizzata che evidenziava la presenza di un corpo estraneo metallico pericolosamente incastrato nel bronco lobare inferiore del polmone destro, associato a un pneumomediastino, ovvero aria nello spazio tra i due polmoni.
Dopo il ricovero immediato, la donna è stata trasferita in sala operatoria e sottoposta con urgenza all’intervento. Il decorso post-operatorio, seguito dall’équipe della U.O.S.D. Terapia Intensiva Post Operatoria (T.I.P.O.) diretta dal dottor Massimo Caracciolo, è risultato regolare e la paziente è stata dimessa in ottime condizioni di salute.
A coadiuvare il dottor Mondello durante l’intervento sono stati il dottor Massimino Messinò, medico in formazione, gli anestesisti dottoressa Lilly Gatto e dottor Leonardo Cosenza, oltre al personale del Blocco Operatorio composto dai CPS Fortunato Quattrone, Angela Fiozzo e Paolo Pennestrì.
Questo post é stato letto 10110 volte!

